background

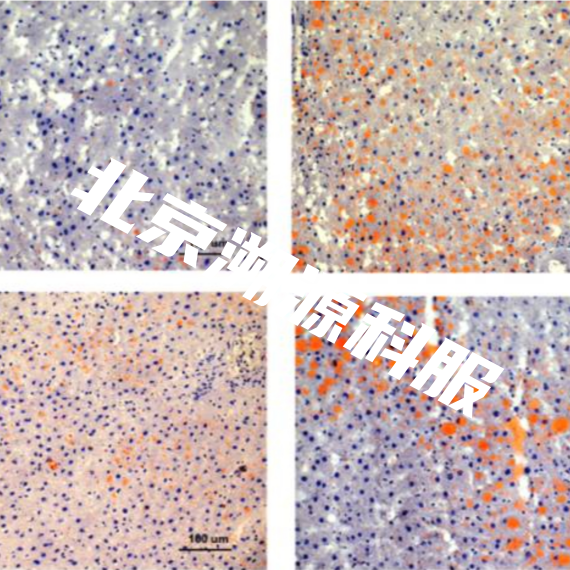
非酒精性脂肪肝模型-动物实验

可承接:心血管循环系统疾病动物、异种皮下移植瘤(PDX)模型、皮肤相关疾病动物模型、神经系统与精神类疾病的模型、呼吸系统疾病动物模型等疾病领域模型及相关实验检测

非酒精性脂肪肝模型-动物实验-北京溯源科服

应用场景:NAFLD/NASH研究。北京溯源科服使用MCD饲料喂养C57BL/6小鼠12周,通过肝脏TG含量(>50mg/g)和NAS评分(≥5分)定量建模。该模型可再现人类脂肪变性-炎症-纤维化全过程,助力FXR靶点药物开发。